First patient dosed in GE HealthCare’s Phase II/III LUMINA clinical trial

First patient dosed in GE HealthCare’s Phase II/III LUMINA clinical trial

Summary

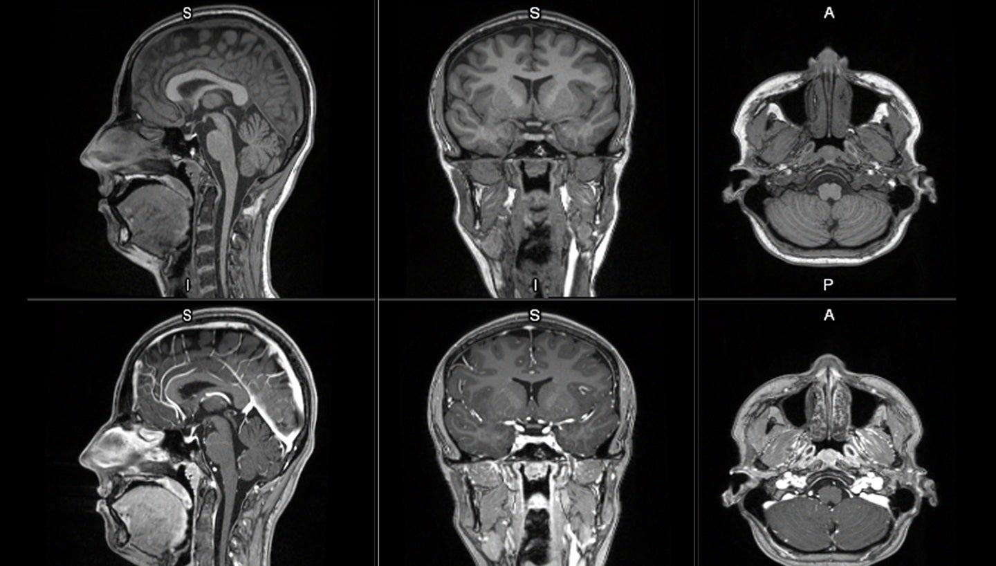
GE HealthCare has dosed the first patient in its Phase II/III LUMINA clinical trial for the investigational manganese-based MRI contrast agent, mangaciclanol.

Description

GE HealthCare has dosed the first patient in its Phase II/III LUMINA clinical trial for the investigational manganese-based MRI contrast agent, mangaciclanol.

Original reporting

AFBytes is a read-only aggregator. Use the original source for full context and complete reporting.

Open original source

Related coverage