After Decades of Quiet Rumbling, an Epidemic Is Erupting Among California Stoneworkers

After Decades of Quiet Rumbling, an Epidemic Is Erupting Among California Stoneworkers

Summary

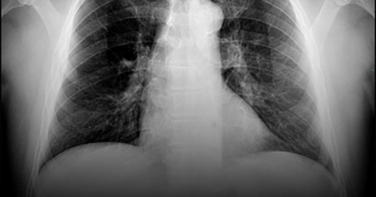
The engineered stone industry is worth nearly $30 billion. But the workers at its core are falling sick and dying from an illness called silicosis. Now these wo...

Description

The engineered stone industry is worth nearly $30 billion. But the workers at its core are falling sick and dying from an illness called silicosis. Now these wo...

Original reporting

AFBytes is a read-only aggregator. Use the original source for full context and complete reporting.

Open original source

Related coverage